Obiettivi del corso
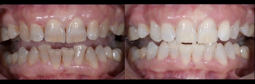
La sempre maggiore richiesta di estetica da parte dei pazienti pone ai clinici la necessità di ampliare sempre più il ventaglio delle proprie soluzioni terapeutiche attraverso metodiche minimamente invasive. Spesso però negli operatori sorgono dei dubbi su quali siano le tecniche più affidabili per ottenere il successo, specie quando si parla di difetti di sviluppo dello smalto o discromie in area estetica. Lo scopo del corso è quello di fornire ai partecipanti le principali soluzioni oggi esistenti per riconoscere e trattare con successo, in maniera minimamente invasiva, le discromie più frequenti e anomalie dello smalto.
Data
23 Maggio 2026 ore 09:00 – 13:30
Programma
9.00-11.00: Dr. Roberto Turrini
“La moderna classificazione delle discromie. La diagnosi come punto di partenza per il successo terapeutico. Tecniche di sbiancamento: domiciliare, ambulatoriale e combinate.”
11.00-11.15: COFFEE BREAK
11.15-13.00: Dr. Federico Emiliani
“Il trattamento delle lesioni bianche dello smalto.
13.00-13.30: Video dimostrativo.
Costruzione mascherina e domande.
Relatori
Roberto Turrini si laurea in Odontoiatria e protesi dentaria presso l’Università degli Studi di Firenze nel 2004. Dal 2005 lavora come collaboratore presso lo studio del Dott. Mauro Fradeani a Pesaro ed è socio fondatore del team Fradeani Education. Ha partecipato a corsi di protesi sia in ambito nazionale che internazionale, oltre a programmi annuali su implantologia e odontoiatria estetica. Svolge la sua attività professionale a Pesaro, Terni e Firenze, occupandosi di odontoiatria restaurativa, protesica ed estetica. Socio attivo della IAED (Italian Academy of Esthetic Dentistry) e della SIDOC (Società Italiana di Odontoiatria Conservatrice), è autore di articoli su riviste scientifiche che nazionali e internazionali e co-autore del testo “Sbiancamento dentale: metodi per il successo”, edito da Quintessenza Edizioni nel
2011 e tradotto in tedesco e spagnolo. Svolge un’intensa attività didattica e congressuale in tutto il mondo in tema di protesi fissa e odontoiatria estetica. Nel 2023, insieme al Dott. Federico Emiliani, ha pubblicato il libro di testo “Black&White – Protocolli Clinici Multidisciplinari di Cariologia, Sbiancamento e trattamento delle discromie dentali”, tradotto e pubblicato anche in lingua inglese nel 2025 (Ed. EDRA).
Federico Emiliani si laurea in Odontoiatria e protesi dentaria presso l’Università degli Studi di Roma “Tor Vergata”nel 2009. Nello stesso anno apre il suo primo studio odontoiatrico a Roma.
Contemporaneamente presta attività di collaborazione in diversi studi d’Italia fi no a quando, nel 2013, apre il suo secondo studio odontoiatrico, a Frosinone, insieme al Dott. Domenico Crescenzi. Frequenta diversi corsi di aggiornamento post-laurea in ambito nazionale e internazionale, tra cui il master in Protesi fissa del Dott. Mauro Fradeani, il master in Implantologia del Dott. Stefano Gori, e
altri corsi nell’ambito dell’odontoiatria estetica e della chirurgia. Esercita la libera professione nei suoi studidedicandosi alla cariologia, all’odontoiatria restaurativa e protesica, all’estetica e all’implantologia. Nel 2017 entra a far parte del team Fradeani Education come relatore. Svolge attività didattica e congressuale in Italia e all’estero sulle tematiche della cariologia, dell’estetica e dell’odontoiatria protesica e digitale. Nel 2023, insieme al Dott. Roberto Turrini, ha pubblicato il libro di testo “Black&White – Protocolli Clinici Multidisciplinari di Cariologia, Sbiancamento e trattamento delle discromie dentali”, tradotto e pubblicato anche in lingua inglese nel 2025 (Ed. EDRA).