Corso Teorico-Pratico

Data

23 ottobre 2026
ore 9:00 – 19:00

Parte teorica

 9.00 – 13.00

  • Anatomia Chirurgica
  • Pianificazione Radiologica
  • Utilizzo di software radiologici, pianificatori 3d,
  • Chirurgia Guidata
  • Fasi Chirurgiche del Posizionamento dell’impianto pterigoideo
  • Panoramica del posizionamento
  • Inserimento e angolazione
  • Strumenti per l’inserimento dell’impianto
  • Inserimento e posizione finale
  • Complicanze chirurgiche
  • Protesizzazione
  • Casi Clinici
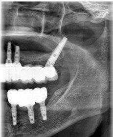
  • Radiografie e immagini di pazienti, video
    chirurgici

Parte pratica

 14.30 – 19.00

  • Studio di un caso clinico, progettazione radiografica, esercitazione chirurgica su modellino anatomico con evidenziazione delle strutture nobili vascolari e nervose.

  • Live Surgery eseguita dal Dr. Falco

  • Il corsista può operare un proprio paziente

Docente

Dott. Antonello Falco

Laureato con lode in odontoiatria e protesi dentale nel 1998.
È stato cultore della materia di Chirurgia Orale Odontostomatologica presso l’Università degli Studi G. D’Annunzio di Chieti. Specializzato in Chirurgia Odontostomatologica presso l’Università degli studi Federico II di Napoli. Diplomato in Implantologia avanzata dalla I.C.O.I. (International Congress of Oral Implantologists). Socio di numerose società scientifiche nazionali ed internazionali. Editorial Board della rivista JOB (The Journal of Osteology and Biomaterials). È autore di pubblicazioni nazionali e internazionali e relatore a numerosi Corsi e Congressi. Esercita la libera professione in Pescara, presso il centro Medico Falmed, via G. D’Annunzio 73. 

Modalità di partecipazione